7 T Mri 248293-How Much Does A 7t Mri Cost
However, 7T MRI scanners are currently more expensive and less available in clinical and research centers To this end, we propose a method to generate superresolution 3T MRI that resembles 7T MRI, which is called as 7Tlike MR image in this paper Methods First, we propose a mapping from 3T MRI to 7T MRI space, using regression random forest7T MRI Knee Imaging Translational Research Towards Clinical Applications The virtual imaging workshop features an interactive format in which participants will experience realtime scanning of the knee at 7T and access to University of Minnesota imaging experts The workshop will appeal to MRI technologists who are interested in learningResults Susceptibilityweighted angiography 7T MR imaging can diagnose Parkinson disease with a mean sensitivity of 93%, specificity of 100%, and diagnostic accuracy of 96% 3T MR imaging
Spinal Cord Mri At 7t Semantic Scholar
How much does a 7t mri cost
How much does a 7t mri cost- MAGNETOM Terra is the first 7T MRI scanner for diagnostic imaging and is designed for unprecedented breakthroughs in clinical care The unique Dual Mode lets you switch between clinical and research operations, with separate databases to distinguish between clinical and research scans This advanced ultrahighfield (UHF) technology has the potential to keep you at 7T MRI detected new lesions in over a third of 3T MRI nonlesional patients, confirmed and better characterized a 3T suspected lesion in one third of patients, and helped exclude a 3T suspected lesion in the remainder Our initial experience suggests that 7T MRI adds value to surgical planning by improving detection and characterization of



7 Tesla Mri Pioneering Use For Patient Care Mayo Clinic
The Physics of Magnetic Resonance Imaging MRI is an imaging modality reliant on the nuclear resonance properties of tissues Every atom has a nuclear magnetic spin, an inherent property of atoms (as a consequence of it being a property of fundamental particles), which dictates its rotation about an axis through its centre These magnetic spins Recently, ultrahighfield (static magnetic field ≥ 7T) MRI has attracted increasing attention because it can provide higher signaltonoise7T MRI research in neurology initial results and future research applications The CJ Gorter Center for High Field Magnetic Resonance Imaging (MRI) at the Leiden University Medical Center was established within the Department of Radiology in late 07 The aim of the center is the development of new
Mayo Clinic in Florida has added a new 7Tesla Siemens Terra MRI system in the Mangurian Building Installation is ongoing, and the scanner is expected to be The 7T MRI may open the window to monitoring that second process that may be going on,” Zurawski said “Gray matter injury is an important part of MS, which may be a key factor driving disease progression Our hope is that by finding new markers of this progression, it opens the opportunity for developing treatments that can prevent7T GE Discovery 950 MRI Scanner Not Service Center Please contact Brian Rutt, PhD, for access (brutt@stanfordedu) Our GE Healthcare Discovery MR950 MRI system operates at a maximum gradient slew rate of 0 millitesla per meter per millisecond and maximum gradient amplitudes of 50 milliTesla per meter
The progression to 7 Tesla (7 T) magnetic resonance imaging (MRI) yields promises of substantial increase in signaltonoise (SNR) ratio This increase can be traded off to increase image spatial resolution or to decrease acquisition time However, renal 7 T MRI remains challenging due to inhomogeneity of the radiofrequency field and due toThe Magentom Terra is the first 7T MRI system cleared for clinical use in the United States The spatial resolution of 7T MRI approaches the scale of pathologies of interest in degenerative brain diseases, such as amyloid plaques and changes in cortical layers and subcortical nuclei It may reveal new information about neurodegenerative dementias, although challenges may include increased artefact production and more adverse effects We performed a systematic



7t Mri Adds Critical Information For Epilepsy Presurgical Evaluation Consult Qd



7 Tesla Mri Of The Ex Vivo Human Brain At 100 Micron Resolution Scientific Data
On MRI unlike the latter Even if 7 T MRI has not yet resulted in an earlier diagnosis, recent studies have demonstrated the main advantages of imaging at ultrahigh field in MS For instance, one of the first studies comparing 3 T and 7 T MRI in MS showed that onThe company said it has installed 7T MRIs in a few countries 7 tesla MRI is still very much a researchonly scanner In the clinic, most tests are done with 15T or 3T It seems likely that in the near future, clinical uses will for 7T will be validated and standardized, and 7T scanners will (hopefully) become more costeffective for clinicsOn a 7T magnetic resonance imaging (MRI) machine was installed at USC Stevens Hall for Neuroimaging, home to the USC Mark and Mary Stevens Neuroimaging and Informatics Institute To accommodate the machine's magnet, which measures 27 cubic feet and weighs 22 tons (roughly the size of 30 elephants), a crane carefully lowered the magnet through a hatch in the imaging



Key Clinical Benefits Of Neuroimaging At 7 T Sciencedirect



Fda Clears Magnetom Terra 7t Mri Scanner From Siemens
See other articles in PMC that citethe published article Abstract Magnetic resonance imaging and spectroscopy (MRI/MRS) at 7T represents an exciting advance in MR technology, with intriguing possibilities to enhance image spatial, spectral, and contrast resolution A comparison between 7T MRI and arthroscopy of the shoulder has been performed by LazikPalm et al , demonstrating the feasibility of clinical protocol acquisition at 7 T with diagnostic image quality in patients with suspected tendinopathy of the rotator cuff Compared to the arthroscopic evaluation, 7T MRI led to an overestimation of 7tesla (7T) MRI displays brain tissue characteristics more crisply than the 3T MRI that is in wide use today This advanced imaging technology, approved for clinical use by the FDA in 17 but used for research at Cleveland Clinic since 14, already is having a notable impact on the diagnosis and treatment of multiple sclerosis, epilepsy, traumatic brain injury, degenerative brain



Brain Scan From A 7t Mri Scanner



Negative 3t Mri In An Epilepsy Patient Here S What 7t Can Bring To The Table Consult Qd
Coronal MIP projection of a 7T timeofflight MRA in the same patient ( E) shows striate artery displacement ( double arrowheads ), as well as a recruited posterior circulation supply inferiorly ( doubleheaded arrow) and additional vessels arising from the anterior cerebral artery superiorly ( arrowheads )A 7 Tesla (7T) magnetic resonance imaging (MRI) scanner, added to the Brigham’s suite of imaging technologies last year, received federal and state approvals for clinical use and became available for patient care in September This article was originally featured in the BWH Bulletin7T MRI, An Issue of Magnetic Resonance Imaging Clinics of North America, 1st Edition This issue of MRI Clinics of North America focuses on 7T MRI and is edited by Dr Meng Law



7t Mri Reveals A Link Between Meningeal And Gray Matter Involvement In Ms Brigham Health On A Mission



Good Image Quality At 7t Example T2 Weighted Imaging Of The Prostate Download Scientific Diagram
Sorensen says he is aware of some data that have been published on ultra–highfield MRI imaging of the prostate and heart However, he says, the engineering challenges of doing body images at 7T are even greater than those of imaging the brain at very high fieldsCommunity However, the MAGNETOM 7T 1 activelyshielded, wholebody MRI research platform opens up the scope of research and solutions to many of these challenges This is the right system for pioneers and trendsetters who change the game in MRI and strive to advance human health Beyond field strength By overcoming challenges, innovations made7Tesla MRI Pioneering use for patient care The clinical use of 7Tesla MRI enhances Mayo Clinic's ability to manage epilepsy, certain brain and peripheral nerve tumors, and other neurological disorders Mayo Clinic was the first center in North America to use clinical 7Tesla MRI, after the Food and Drug Administration (FDA



Emerging Use Of Ultra High Field 7t Mri In The Study Of Intracranial Vascularity State Of The Field And Future Directions American Journal Of Neuroradiology



Mri With Ultrahigh Field Strength And High Performance Gradients Challenges And Opportunities For Clinical Neuroimaging At 7 T And Beyond European Radiology Experimental Full Text
The standard MRI brain imaging is done on 3T or similar MRI machine, but the 7T MRI machine has a larger magnet which has been shown to have superior resolution of the brain and of noncancerous brain lesions Diagnostic procedures such as 7T MRI may help find and diagnose melanoma brain metastases earlier than standard 3T MRIMAGNETOM Terra is the first 7T MRI scanner to unleash the full potential of the increased MR signal with multinuclear imaging and spectroscopy in clinical settings The multinuclear option allows the use of two dedicated coils in clinical mode – a 23 Na head coil and a 31 P loop coil, to explore metabolic insightsAt this time, our 7T MRI scanner is one of the most active in the United States and the Brain Behavior Laboratory and Lifespan Brain Institute are on the way to collecting one of largest datasets in healthy and abnormal development at 7T, allowing us to be leaders in brain research and move the field toward effective treatment and prevention



New Technology For Urology 7t Mri Scanner Eau22 18 21 March 22



Five Day Long Scan Of Complete Brain Using Ultra Powerful Mri Medgadget
Bruker 7T SmallBore MRI The BioSpec 70/30 MRI scanner is a multipurpose system for highresolution MR spectroscopy and imaging It operates at 7 Tesla, and has a warm bore diameter of 30 cm The system is equipped with a 12 cm gradient and shim coil set (BGA 12S2), capable of generating maximum gradient amplitude of 440 mT/m, rise time of 80 Although 7T MRI has recently received approval for use in clinical patient care, there are distinct safety issues associated with this relatively high magnetic field Forces on metallic implants and radiofrequency power deposition and heating are safety considerations at 7 T Patient bioeffects such as vertigo, dizziness, false feelings ofSpecifications Oxford 47 T 33 cm activelyshielded horizontal magnet Agilent VNMRS console/VnmrJ31 with 4 1H /1 BB transmitter and 4 channel receivers IECO GP, 400A/750V peak 3Axis MRI Gradient Amplifier Gradient Coils Oxford 330/225 – bore size 225mm, Gmax = 65 mT/m with 700 µs risetime RRI BFG0/115S14 – bore size 115mm, Gmax =



Comparison Of 3t And 7t Mri For The Visualization Of Globus Pallidus Sub Segments Scientific Reports



Tic Tac Toe Rf Coil System For 7t Human Mri Novus Light Today
Fig 1 3T and 7T MRI The goal is to bring back the magnet to 117 T with all the MRI equipment, before the end of We will make our final adjustments in early 21, and plan to take the first image in AprilMay 21 – Metrolab You mentioned earlier that two other projects use a similar magnetic field but a smaller inner diameter The 7T MRI prototype sequences included xial and coronal 2D FLAIR sequences These sequences were repeated once again in case of intolerable head motion



7t Mri



Bir Publications
Abstract With more than 60 installed magnetic resonance imaging (MRI) systems worldwide operating at a magnetic field strength of 7T or higher, ultrahighfield (UHF) MRI has been established as a platform for clinically oriented research in recent years Profound technical and methodological developments have helped overcome the inherent physical challenges of UHFContacts A Bruker Biospin 70 Tesla 30 cm clear bore MRI/MRS is operating in a 535 square foot space in the UCLA AhmansonLovelace Brain Mapping Center The instrument is capable of the full spectrum of modern neuroimaging including structural MRI, functional MRI, perfusion MRI, diffusion tensor MRI, and multinuclear MR spectroscopyWhile research is understandably emphasized as the initial application when a new higher field MRI system is commercially introduced, ineviti ably clinical applications become the majority appliation Similarly, such 7T scanners as are currently available are used mainly for research



Brain Lesion Conspicuity At 7t Defining The Diagnostic Value Of High Field Strength Mri Consult Qd



Can 7 Tesla Mri Make The Transition To Clinical Prime Time
7T and 3T WholeBody MRI at Mission Bay The 7T MR950 scanner has the latest technology from GE Healthcare with similar gradient performance to their clinical 3T systems and a 32channel receive system The system is considered to be a nonsignificant risk device and uses the same safety criteria as standard clinical MR scanners There is reason to believe that magnetic flux changes in the cardiovascular system are not a major concern for 7T MRI The World Health Organization has stated that the threshold for induction of minor heart rhythm, heart rate, and blood pressure changes are unlikely to occur at magnetic fields less than 8 T ( 66 ) Clinical applications of 7 T MRI in the brain 1 Introduction Magnetic Resonance Imaging (MRI) is a versatile technique to image changes in brain anatomy and 2 Technical aspects of high field 7 T imaging For a given contrast, the three fundamental factors that determine the 3 Clinical 7 T



Magnetom Terra 7t Mri Scanner



Ge S Signa 7 0t Magnetic Resonance Imaging Mri Scanner Usa
Answer (1 of 2) Mayo Clinic will have the first clinical 7Tesla MRI scanner in North America that has been cleared by the US Food and Drug Administration (FDA) This MRI scanner, the MAGNETOM® Terra, will be operational at Mayo Clinic later in 17 The manufacturer, Siemens Healthineers, recCommunities > Multiple Sclerosis > 7T MRI A A A Close Multiple Sclerosis Community 923k Members 7T MRI essdipity I came across a Web page that describes 7T MRI magnets and their use in diagnosing MS I didn't know such things existed The site is the Science Daily, which has lots of very interesting related articles Now, several companies have taken interest in developing 7 T clinical MRI systems for use in large hospitals 3 T can be compared to a sports car as it has plenty of horsepower, torque and is featurepacked However problems occur when the 3 T sports car mutates into a 7 T Formula 1 racing car, which makes daily use even more challenging



7 Tesla Philips Achieva Mri Scanner The University Of Nottingham



Panel Of 3 Tesla Mri Versus 7 Tesla Mri This Panel Includes A Download Scientific Diagram
Bruker Clinscan 7T MRI ClinScan is Bruker BioSpin’s solution for an emerging market of research MRI systems that allows a direct and fast transfer of preclinical studies to7 Department of Medical Imaging and Physiology, Skåne University Hospital, Lund, Sweden 8 Department of Clinical Sciences, Faculty of Medicine, Lund University, Lund, Sweden 9 Lund University Bioimaging Center, Lund University, Lund, Sweden PMID However, 7T MRI scanners are often cost prohibitive and hence not always accessible in the clinics To date, there are less than 100 7T MRI scanners worldwide, whereas there are more than ,000 3T MRI scanners (Forstmann et al, 17) Download Download highres image (161KB) Download Download fullsize image;



Meg Guided Analysis Of 7t Mri In Patients With Epilepsy Seizure European Journal Of Epilepsy



Multi Site Harmonization Of 7 Tesla Mri Neuroimaging Protocols Sciencedirect
StateoftheArt 7T MRI Available for Patients The Department of Radiology is pleased to announce that a new 7 Tesla (7T) magnetic resonance imaging (MRI) scanner, that was delivered to us in May of 17, and is situated in the Hale Building for Transformative Medicine, has received federal and state approvals for clinical use



Partner Investment In 7 Tesla Mri Impacts Illinois Research Patient Care



U Of M Cmrr Research Highlights



Using A High Field 7t Mri What You Need To Know Directmed Parts Service



Spinal Cord Mri At 7t Semantic Scholar



Pros And Cons Of Ultra High Field Mri Mrs For Human Application Sciencedirect



Fda Clears Ge 7 Tesla Mri Scanner



11t



Advanced Mri 3t Versus 7t Magnetom Terra 7t Vs 3t Prisma Higher Snr And Cnr For Ultra High 0 2 Mm In Plane Resolution For Imaging Tumor Vascularization With 7t Mri Machine Advanced Mri



7t Mri Offers New Insights Into Multiple Sclerosis



File 7 Tesla Mri Of The Ex Vivo Human Brain At 100 Micron Resolution Axial Coronal Sagittal And Descriptive Summary Webm Wikimedia Commons



7t Magnetom Centre For Advanced Imaging University Of Queensland



7 Tesla Mri Of The Ex Vivo Human Brain At 100 Micron Resolution Scientific Data



Is 7 Tesla Mri Ready Yet To Go Clinical



Pros And Cons Of Ultra High Field Mri Mrs For Human Application Sciencedirect



7 Tesla Mri Pioneering Use For Patient Care Mayo Clinic



7 Tesla Mri Pioneering Use For Patient Care Mayo Clinic



Comparison Of 3t And 7t Mri For The Visualization Of Globus Pallidus Sub Segments Scientific Reports



3t And 7t Mri In Als And Healthy Control 3t And 7t Brain Mri Signal Download Scientific Diagram



1



Ultra High Field 7 T Mri In Multiple Sclerosis And Other Demyelinating Diseases From Pathology To Clinical Practice European Radiology Experimental Full Text



High Resolution Flair Mri At 7 Tesla For Treatment Planning In Glioblastoma Patients Radiotherapy And Oncology



7t And 3t Whole Body Mri At The Cind



State Of The Art 7t Mri Available For Clinical Use Brigham And Women S Hospital



Ge Healthcare Partners With Tesla Engineering To Produce Ultra High Field 7t Mri Systems Daic



Airc 7t Instrument Ohsu



Siemens Healthineers Magnetom Terra 7 Tesla Mri Scanner



Ultra High Field Mri Transition To Human 7t In Finland lto University



Clinical Applications Of 7t Mri In The Brain European Journal Of Radiology



Magnetom Terra 7t Mri Scanner



Mayo Clinic Installing First Fda Approved Clinical 7t Mri Imaging Technology News



10 5 Tesla



Emerging Use Of Ultra High Field 7t Mri In The Study Of Intracranial Vascularity State Of The Field And Future Directions American Journal Of Neuroradiology



1



A Post Mortem 7t Mri Of A Fixed Human Brain Specimen The Axial Slice Download Scientific Diagram



7 Tesla Mr Enters Clinical Routine Healthcare In Europe Com



Plos One 7t Mri In Epilepsy Patients With Previously Normal Clinical Mri Exams Compared Against Healthy Controls



Airc 7t Instrument Ohsu



Comparison Of 3t And 7t Susceptibility Weighted Angiography Of The Substantia Nigra In Diagnosing Parkinson Disease American Journal Of Neuroradiology



Cdn0 Scrvt Com



7t Mri Finds Promising Ms Biomarker



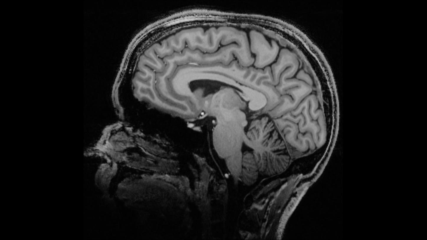
Normal Sagittal T1 Mri Brain 7 Stock Image C039 3737 Science Photo Library



Musculoskeletal Mri At 7 T Do We Need More Or Is It More Than Enough European Radiology Experimental Full Text



100 Micron Mri Of The Human Brain Axial Youtube



7 Tesla Mri Cardiff University Brain Research Imaging Centre Youtube



7 T Mri Is It Worth It



Fda Gives First Clearance To Siemens High Field 7 Tesla Mri Scanner Medgadget



Seven Tesla Magnetization Transfer Imaging To Detect Multiple Sclerosis White Matter Lesions Chou 18 Journal Of Neuroimaging Wiley Online Library



Comparison Of 3t And 7t Mri For The Visualization Of Globus Pallidus Sub Segments Scientific Reports



7t Mri Continues To Show Promise In The Liver



Clinical Applications Of 7t Mri In The Brain European Journal Of Radiology



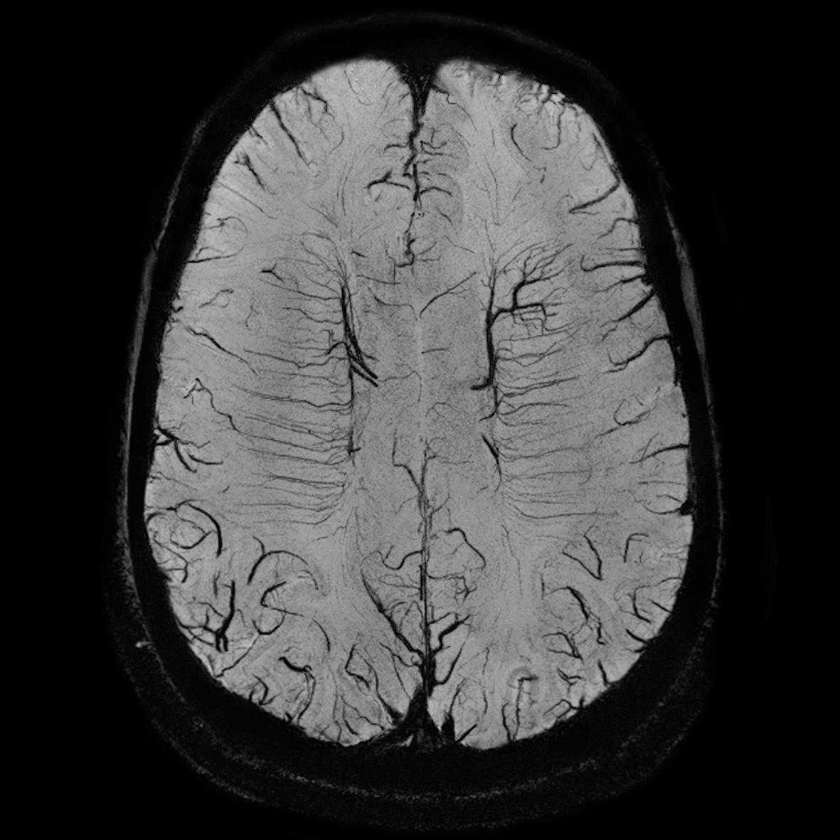
Magnetom 7t Head Swi 7t Imaging



Pdf Motion Correction Enabled Ultra High Resolution In Vivo 7t Mri Of The Brain Semantic Scholar



The World S Strongest Mri Machines Are Pushing Human Imaging To New Limits



Mri Captures The Most Detailed View Yet Of A Whole Human Brain Science News



7 Tesla Mri Pioneering Use For Patient Care Mayo Clinic



Brain Structures Visualised On 7 Tesla Mri Images A 7 T T1w Mprage Download Scientific Diagram



Ultra High Field 7 T Mri In Multiple Sclerosis And Other Demyelinating Diseases From Pathology To Clinical Practice European Radiology Experimental Full Text



7t And 3t Whole Body Mri At The Cind



Is 7 Tesla Mri Where 3 Tesla Was 10 Years Ago



Magnetom Terra 7t Mri Scanner



Value Of 7t Mri And Post Processing In Patients With Nonlesional 3t Mri Undergoing Epilepsy Presurgical Evaluation Wang Epilepsia Wiley Online Library



Airc 7t Instrument Ohsu



Clinical 7 T Mri For Neuroradiology Strengths Weaknesses And Ongoing Challenges Springerlink



Partner Investment In 7 Tesla Mri Impacts Illinois Research Patient Care Carle Org



Safety Considerations Of 7 T Mri In Clinical Practice Radiology



Facilities 7t Lucas Mri Service Center Stanford Medicine



Siemens Healthineers Magnetom Terra 7 Tesla Mri Scanner



Eau New Technology For Urology 7t Mri Scanner



Ge S 7t Mri Scanner Wins Fda Clearance



Plos One 1 5 Versus 3 Versus 7 Tesla In Abdominal Mri A Comparative Study



Emerging Use Of Ultra High Field 7t Mri In The Study Of Intracranial Vascularity State Of The Field And Future Directions American Journal Of Neuroradiology



Brain Lesion Conspicuity At 7t Defining The Diagnostic Value Of High Field Strength Mri Consult Qd



7 T Mri Is It Worth It



7t Mri Ubc Mri Research Centre



Clinical Applications Of 7t Mri In The Brain European Journal Of Radiology



Picture Perfect Bwh Volunteers Help Optimize 7t Imaging Brigham Bulletin



Magnetom Terra 7t Mri Scanner



Bir Publications



First Patient Scanned On 7t Scanner



Ultra High Field Mr Neuroimaging American Journal Of Neuroradiology
コメント
コメントを投稿